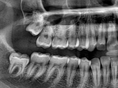
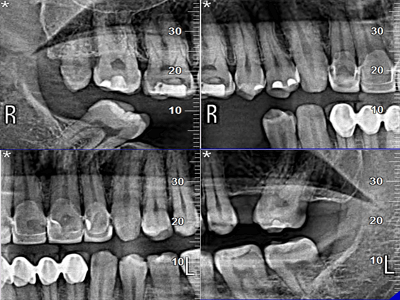
We are focused to serve the healthcare professional's prescription for Ultra High Definition 3D CT Imaging of the sinus, oral maxillofacial, para-nasal sinuses, ear & throat regions.
Pro Patient: Our state-of-the-art cone-beam computed tomography (CBCT) technology could selectively image the sinus, oral maxillofacial, para-nasal sinuses, ear & throat regions.
Available Services
3D Imaging with Field of View sizes available in:
Why is our oral maxillofacial CT-Scan center safe, trusted & preferred by your oral health specialist?
DOH Licensed
The center & its staff are licensed by FDA, Center for Device Regulation, Radiation Health & Research.
Safe Radiation Exposure Level
We practice the ALARA principle; (As low as Reasonably Achievable) all scans are restricted to the “Field of View” of your dentist’s prescription. It is taken using (1) pulsed x-ray exposure protocols, (2) real-time-automatic exposure control of the x-ray dose based on the patient’s actual bone density & (3) high resolution digital x-ray image sensors. These factors lead to a significant reduction in x-ray exposure equivalent to only 10% of the x-ray dose of a medical CT-Scan.
The aforementioned technology is inherent in the “myRay X9 CBCT Scan” that we use. myRay X9 is an Italian-made Oral Maxillofacial CT-Scan, certified compliant by European, Japan, USA and other international authorities in radiation safety.
Patient Comfort
Our quick scan technology is specific for 3D imaging of the oral maxillofacial region. The actual Oral Maxillofacial CT Scan takes less than a minute. It is done in a standing or sitting position with the patient wearing their street clothes underneath a protective vest. Moreover, waiting time for the procedure & results is minimal.
Patient Saves Money
Compared to medical CT Scan in hospitals, our rate is 90% lower.
Proactive Dental Management thru our 3D Imaging Manipulation Software
With Oral Maxillofacial CT Scans, your dentist enhances his ability to proactively manage your health concern thru accurate diagnosis & better treatment planning. Moreover, the patient benefits from a painless,low radiation dose CT Scan procedure.






















